Ein täglicher Blick in den Spiegel verrät uns die kleinen Spuren des Älterwerdens. Kleine Fältchen an den Augen oder der Oberlippe, diffuse Rötungen an Wange und Nase, Tränensäcke, Akne, Narben beeinträchtigen unser Lebensgefühl. Um diese Problemfelder effektiv zu behandeln, sind herkömmliche Kosmetika oft wirkungslos, weil unsere natürliche Hautschutzbarriere auch die positiven Inhaltsstoffe nicht dahin lässt, wo sie Ihre Wirkung entfalten könnten – unter die Haut!
High-Tech für schöne Haut
twotec® ist ein High-End-Behandlungssystem und vereint die Vorteile der Verfahren von Elektroporation, Sonophorese, Mesoporation, Elektrostimulation und Mikrodermabrasion.
Die Ultradermabrasion ist eine Behandlungsmethode, bei der vier nachweislich wirksame Technologien zeitgleich zum Einsatz kommen. Dadurch werden die Effekte addiert und es kommt in einer einzigen Behandlung zu sofort sichtbaren und fühlbaren Ergebnissen. Das hauteigene Zell-Repair-System zur Produktion von Collagen, Elastin sowie neuer Hautzellen wird stimuliert. Zeichen der Hautalterung werden reduziert bei gleichzeitiger Verfeinerung der Hautreliefs. Mit speziellen Face - Lift - Programmen können bestimmte Gesichtspartien per Muskelstimulation aufgebaut werden.
Das Resultat: Extrem wirksame Behandlungen mit sofort sichtbaren Effekten bei maximaler Haut- und Gewebeschonung!
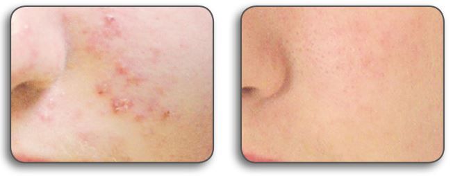
Ultradermabrasion Clearing Facial (Akne)
Für ein klares, reines, feinporiges Hautbild bei Akne und Unreinheiten.
Hautdiagnose, Reinigung, Peeling, Ultradermabrasionsverfahren zur Einschleusung von hochqualitativen, entzündungshemmenden Wirkstoffen, Ausreinigung, Augenpflege, Abschlusspflege.
Dauer ca. 45 Min
74,00 €
Ultra Dermabrasion Couperose
Zur Milderung von Rötungen und zur Stärkung der Gefäßwände.
Reinigung, Peeling, Ultra-Dermabrasionsverfahren zum Entstauen und zur Einschleusung von hauttypspezifischen Wirkstoffsubstanzen in die tiefen Gewebsschichten, Anti-Couperose-Maske, Abschlusspflege.
Dauer ca. 60 Min
99,00 €
Ultra Dermabrasion Anti-Pigment
Für ein klares, ebenmäßiges Hautbild. Pigmentstörungen und Altersflecken werden gemindert.
Hautdiagnose, Reinigung, Peeling, Ultradermabrasionsverfahren zur Einschleusung von hochqualitativen, aufhellenden Wirkstoffen, Spezialmaske, Abschlusspflege.
Dauer ca. 60 Min
99,00 €
Power Anti-Agin- Ultradermabrasion
Hautdiagnose, Reinigung, Peeling, Ultradermabrasion zur Tiefeneinbringung von individuell auf Ihre Haut abgestimmten Wirksubstanzen, Ausreinigung, Maske und Power-Lifting, Augenpflege, hauttypgerechte Abschlusspflege.
Gesicht ca. 60 Min.
139,00 €
Gesicht, Hals und Dekolletè ca. 75 Min
169,00 €
